درباره دکتر علی کتیرایی
دکتر کتیرایی با بیش از ۱۵ سال سابقه درخشان در زمینه دندانپزشکی، فارغالتحصیل از دانشگاه اصفهان و دارای فلوشیپ زیبایی و ایمپلنت از کشور آلمان میباشد. ایشان با بهرهگیری از دانش روز دنیا و بهترین متریال، همواره در تلاش است تا لبخندی زیبا و سالم را به بیماران خود هدیه دهد. تعهد به کیفیت و رضایت بیمار، اولویت اصلی دکتر کتیرایی در تمام مراحل درمان است.
خدمات ما
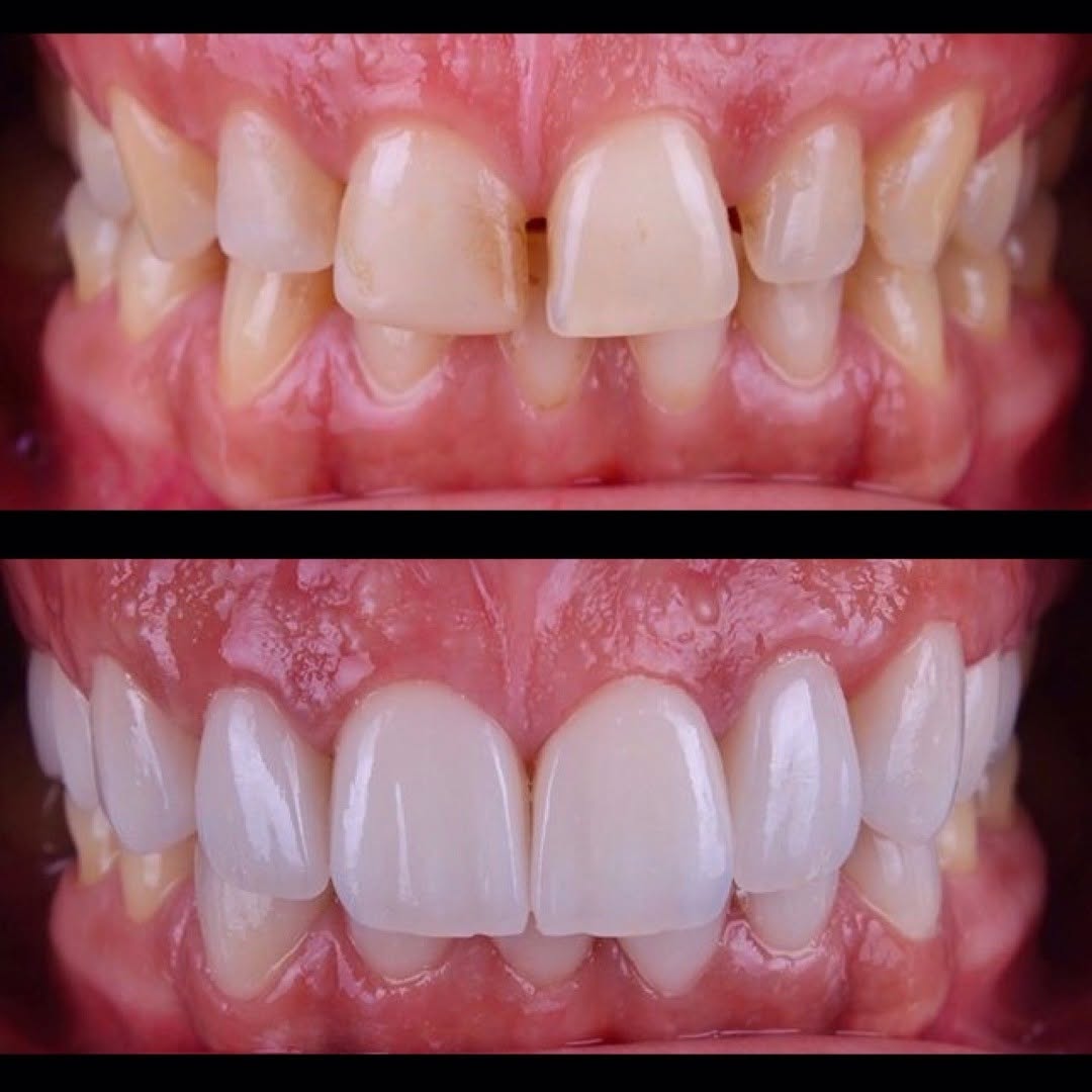
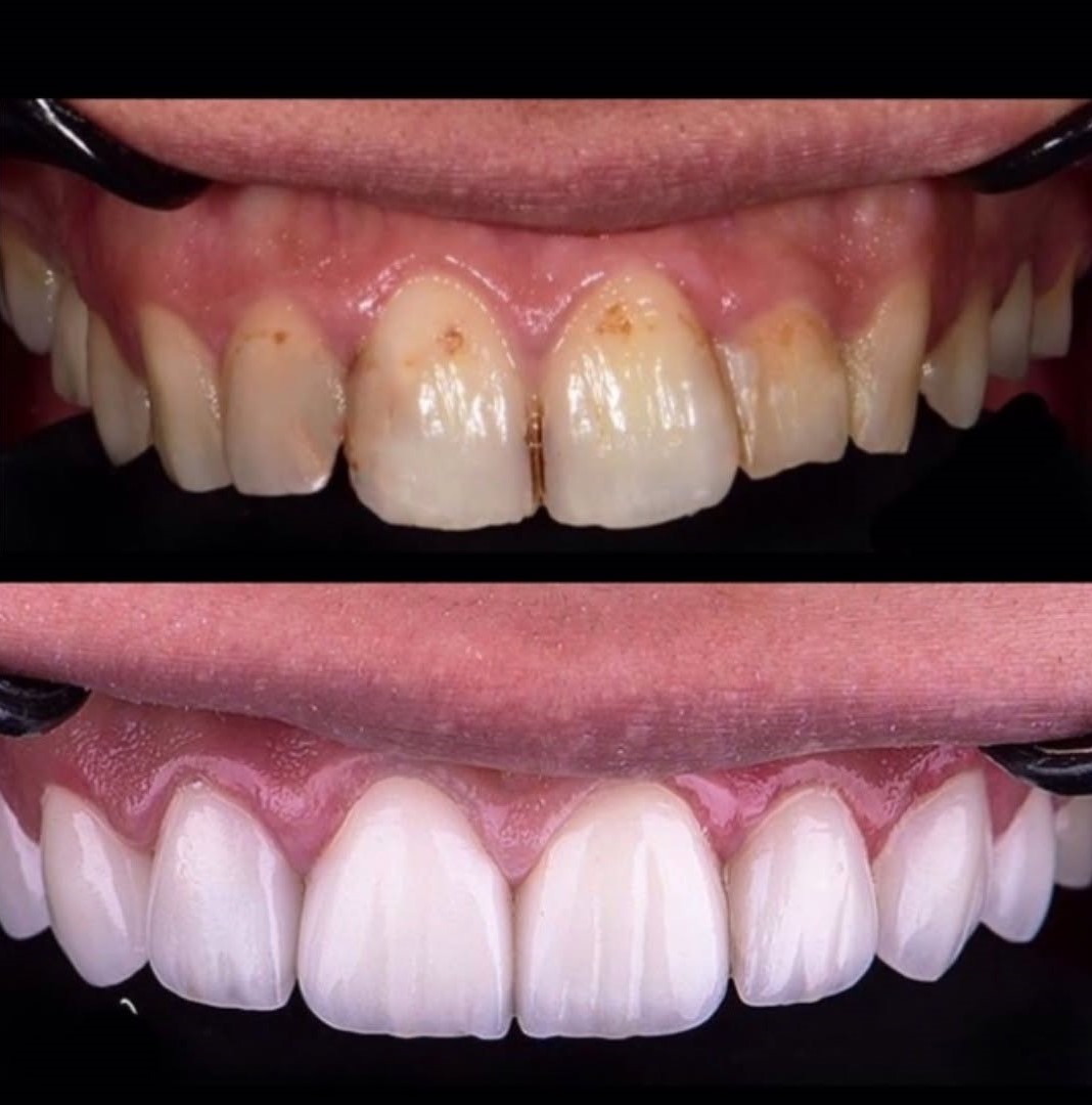
لمینت و کامپوزیت
طراحی لبخند و اصلاح فرم و رنگ دندانها برای زیبایی بینظیر.
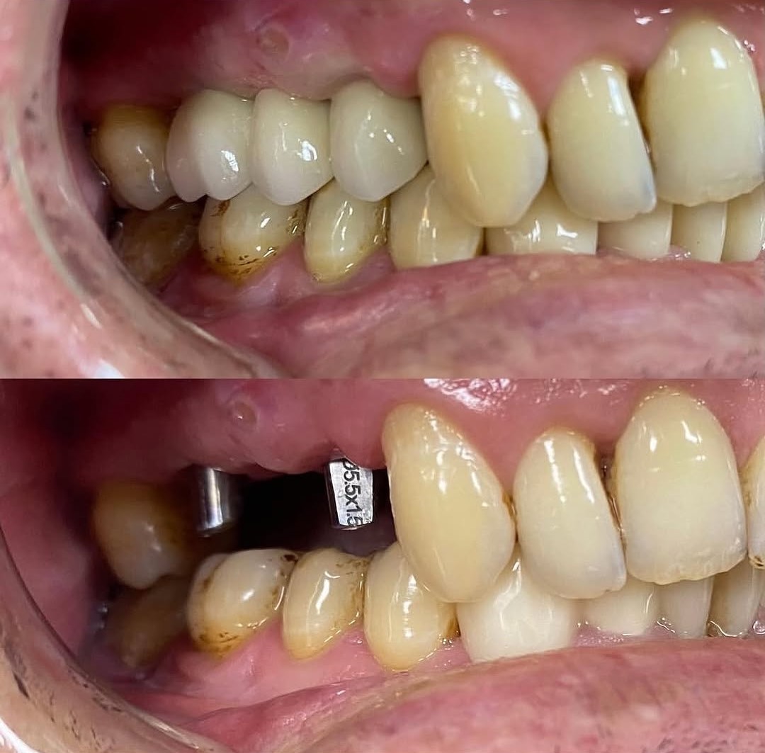
ایمپلنت و کاشت دندان
جایگزینی دندانهای از دست رفته با بهترین برندهای ایمپلنت روز دنیا.
عصبکشی (درمان ریشه)
درمان ریشه دندان با دستگاههای پیشرفته و بدون درد.
جراحی دندان عقل
جراحی تخصصی دندانهای عقل نهفته و نیمهنهفته.
جرمگیری و پر کردن
حفظ سلامت لثه و ترمیم دندانهای پوسیده با مواد با کیفیت.
بلیچینگ و سفید کردن
روشی موثر برای داشتن دندانهایی سفیدتر و درخشانتر.
گالری نمونه کارها








تماس و نوبتدهی
راههای ارتباطی
برای دریافت نوبت و مشاوره میتوانید از طریق شمارههای زیر و یا شبکههای اجتماعی با ما در تماس باشید.
ساعات پذیرش: شنبه تا چهارشنبه، ۱۷ الی ۲۱
اصفهان - خیابان شیخ مفید شرقی - مقابل کلینیک دانشگاه - ساختمان مارال